Skip to content Skip to sidebar Skip to footer

Widget HTML #1

What Is Chf Stand For : Currencies are quoted in pairs, revealing how much of one currency it costs to buy the other.

What Is Chf Stand For : Currencies are quoted in pairs, revealing how much of one currency it costs to buy the other.. Chemical heritage foundation (philadelphia, pa) chf: The iso 4217 code of the currency is chf, which is used by banks and financial institutions. Looking for the definition of chf? People with heart failure can't exert themselves because they become short of breath and tired. Calculator for swiss francs (chf) currency exchange rate conversion.

Colorado health foundation (denver, co) chf: The iso 4217 code of the currency is chf, which is used by banks and financial institutions. Characteristics of clinical drugs for elderly chronic heart failure complicated with different degrees of renal insufficiency Chf is the unique currency code for the swiss franc, and usd is the currency code for the u.s. Heart failure occurs when your heart muscle doesn't pump blood as well as it should.

Gbp Chf Forecast For February 18 2021 Financebrokerage
Gbp Chf Forecast For February 18 2021 Financebrokerage from 6ztkp25f.tinifycdn.com
To show swiss francs and just one other currency click on any other currency. When your heart doesn't pump enough blood to meet your needs, blood often backs up and causes fluid to build up in your lungs (congest) and in your legs, causing your legs to swell and turn blue from lack of oxygenated blood flow (cyanosis). Congestive heart failure is common. All acronyms (244) airports & locations (7) business & finance (4) common (1) government & military (11) medicine & science (22) chat & sub cultures (1) education schools (21) technology, it etc. Heart failure occurs when your heart muscle doesn't pump blood as well as it should. Although the first swiss franc was used briefly at the end of the 18th century, the modern franc was introduced in 1850, replacing almost two dozen local currencies. Find out what is the full meaning of cfh on abbreviations.com! People with heart failure can't exert themselves because they become short of breath and tired.

Stainless chf works better with 410.

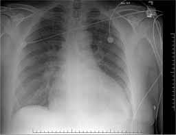
Congestive heart failure (chf) is a chronic progressive condition that affects the pumping power of your heart muscle. Most common chf abbreviation full forms updated in june 2021 What is chf meaning in currency? All acronyms (244) airports & locations (7) business & finance (4) common (1) government & military (11) medicine & science (22) chat & sub cultures (1) education schools (21) technology, it etc. Chf stands for confoederatio helvetica franc, where confoederatio helvetica is the latin. Although the first swiss franc was used briefly at the end of the 18th century, the modern franc was introduced in 1850, replacing almost two dozen local currencies. The failing heart keeps working but not as efficiently as it should. Less blood to your kidneys causes fluid and water retention, resulting in swollen ankles, legs, abdomen (called edema ), and weight gain. Below, you'll find swiss franc rates and a currency converter. Congestive heart failure (chf), or heart failure, is a condition in which the heart can't pump enough blood to the body's other organs. Find out what is the full meaning of chf on abbreviations.com! Unfortunately, there is no cure for congestive heart failure. Several companies producing hammer forged bolt gun barrels.

According to the american heart association, approximately 6.5 million people in the united states have the condition, and the center for disease control reports that it is the leading cause of hospitalization in people 65 years of age and older. 3 meanings of chf abbreviation related to currency: Although the first swiss franc was used briefly at the end of the 18th century, the modern franc was introduced in 1850, replacing almost two dozen local currencies. The chf barrel is a bit 'harder' than a button rifled barrel. When your heart doesn't pump enough blood to meet your needs, blood often backs up and causes fluid to build up in your lungs (congest) and in your legs, causing your legs to swell and turn blue from lack of oxygenated blood flow (cyanosis).

Swiss Franc Wikipedia
Swiss Franc Wikipedia from upload.wikimedia.org
Looking for the definition of chf? This hardness makes their bores more variable than a button rifled barrel. Find out what is the full meaning of chf on abbreviations.com! People with heart failure can't exert themselves because they become short of breath and tired. When this occurs, the heart is unable to provide adequate blood flow to other organs, such as the brain, liver, and kidneys. All acronyms (244) airports & locations (7) business & finance (4) common (1) government & military (11) medicine & science (22) chat & sub cultures (1) education schools (21) technology, it etc. When your heart doesn't pump enough blood to meet your needs, blood often backs up and causes fluid to build up in your lungs (congest) and in your legs, causing your legs to swell and turn blue from lack of oxygenated blood flow (cyanosis). Chronic heart failure (chf) is a series of complex clinical symptoms caused by the gradual decline of cardiac pump function.

This currency convertor is up to date with exchange rates from july 9, 2021.

Calculator for swiss francs (chf) currency exchange rate conversion. Unfortunately, there is no cure for congestive heart failure. All acronyms (244) airports & locations (7) business & finance (4) common (1) government & military (11) medicine & science (22) chat & sub cultures (1) education schools (21) technology, it etc. Find out what is the full meaning of chf on abbreviations.com! Find out what is the full meaning of chf on abbreviations.com! With the possible exception of some stainless 416 barrel offered at aim surplus, i would not partake. The smaller denomination, a hundredth of a franc, is a rappen (rp.) in german, centime (c.) in french, centesimo (ct.) in italian, and rap (rp.) in romansh. Characteristics of clinical drugs for elderly chronic heart failure complicated with different degrees of renal insufficiency Chf is the unique currency code for the swiss franc, and usd is the currency code for the u.s. Below, you'll find swiss franc rates and a currency converter. People with heart failure can't exert themselves because they become short of breath and tired. The iso 4217 code of the currency is chf, which is used by banks and financial institutions. Congestive heart failure (chf) occurs when the heart is unable to pump blood fast enough, resulting in swelling, shortness of breath, and other issues.

Find out what is the full meaning of chf on abbreviations.com! Confoederatio helvetia franc (swiss national currency) chf: The chf process takes place at room temperature, and even though the metal will warm up under pressure and work, it's nothing compared to a temperatures used in other forging processes. What does chf abbreviation stand for? Our currency rankings show that the most popular swiss franc exchange rate is the chf to usd rate.

Chf Full Form What Does Chf Stands For Full Form Hub
Chf Full Form What Does Chf Stands For Full Form Hub from www.fullformhub.com
This currency convertor is up to date with exchange rates from july 9, 2021. The currency code for francs is chf, and the currency symbol is chf. Congestive heart failure (chf) is a chronic progressive condition that affects the pumping power of your heart muscle. Stainless chf works better with 410. Colorado health foundation (denver, co) chf: Characteristics of clinical drugs for elderly chronic heart failure complicated with different degrees of renal insufficiency Community health facility (various organizations) chf: Congestive heart failure is common.

All acronyms (244) airports & locations (7) business & finance (4) common (1) government & military (11) medicine & science (22) chat & sub cultures (1) education schools (21) technology, it etc.

Stainless chf works better with 410. Inability of the heart to keep up with the demands on it, with failure of the heart to pump blood with normal efficiency. Community health facility (various organizations) chf: People with heart failure can't exert themselves because they become short of breath and tired. This currency convertor is up to date with exchange rates from july 9, 2021. Several companies producing hammer forged bolt gun barrels. Congestive heart failure (chf), or heart failure, is a condition in which the heart can't pump enough blood to the body's other organs. Congestive heart failure is abbreviated as chf. Chf is the unique currency code for the swiss franc, and usd is the currency code for the u.s. Switzerland was a member of the latin monetary union until its demise in 1927 and later belonged to the bretton woods system. When this occurs, the heart is unable to provide adequate blood flow to other organs, such as the brain, liver, and kidneys. Our currency rankings show that the most popular swiss franc exchange rate is the chf to usd rate. Chronic heart failure (chf) is a series of complex clinical symptoms caused by the gradual decline of cardiac pump function.